ホーム > インプラント
歯が抜けたところに人工歯根(インプラント)を顎の骨に埋め込み、その上に人工の歯を被せることで、歯の機能を回復させるだけでなく、自然な歯並びをよみがえらせる画期的な治療法です。
簡単にいうと歯が無くなってしまった所に親和性の高いチタンという金属でできた人工歯根を埋め込む手術のことで、2~6ヶ月後に人工の歯をその上に作ります。インプラントは他の治療法に比べ、咀嚼(そしゃく)能力が断然優れています。入れ歯にすると、天然歯のおよそ20%程度の力でしか物を噛むことができず、おのずとやわらかい物ばかりを食べるようになってしまいます。インプラントでは、天然歯並みの咀嚼能力になりますので、何でも美味しく食べられることができ、気持ちも表情も若返ります。
また、上部構造(人工の歯)もセラミック等でできていますので、審美的にも大変美しい仕上がりとなり、乳歯・永久歯に次ぐ「第3の歯」とも呼ばれています。

当クリニックでは、以下のような条件に当てはまる方にインプラント治療をおすすめしています。

インプラント治療に必要な診査を行い、治療が可能かどうかの診断を行います。治療が可能な場合は、患者様と相談しながら、治療計画を立てます。

![]()
インプラントを埋入する部位の歯肉を開き、顎の骨にインプラントを埋入します。インプラントが骨にしっかり結合するまで約3ヶ月程度待ちます。 この間、必要に応じて仮歯を入れることもできますので、日常生活に差し支えありません。

![]()
人工歯を支えるためのアバットメント(支台部)をインプラントに接続します。 歯肉が治癒するまで約3週間待ちます。仮歯あり。

![]()
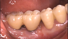
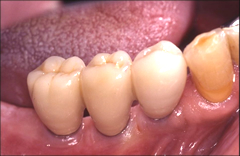
歯を製作するためにお口の中の型を取ります。製作した人工歯をアバットメント(支台部)に装着して完成です。

![]()
インプラントの形や特徴をよく理解した上で、担当医の指導に従って、ブラッシングを行い、歯垢や歯石の沈着を防ぎます。歯を長持ちさせるために、定期的な担当医の検診を受けることをおすすめします。















10:00~20:00
(昼休み13:00~14:30)
10:00~18:00
(昼休み13:00~14:00)
※年末年始・ゴールデンウィーク
お盆は休診させていただきます。
一般歯科 小児歯科 矯正歯科
審美歯科 インプラント
医療法人拓進会
グリーンデンタルクリニック
〒812-0016
福岡市 博多区 博多駅南 6-9-7
マックスバリュー駐車場内
TEL:092-432-1848
FAX:092-432-1881
